
Płytka nazębna i kamień nazębny to dwa pojęcia często ze sobą błędnie utożsamiane. Różnica pomiędzy oboma tymi naleciałościami jest bowiem zasadnicza – płytka nazębna jest bardzo lepkim osadem, który regularnie powstaje na zębach po każdym posiłku. Zazwyczaj jest bezbarwna i dość łatwo można ją usunąć przy pomocy standardowego szczotkowania. Kamień nazębny ma zaś zazwyczaj barwę żółtą bądź brązową, a jego wyeliminowanie z jamy ustnej jest znacznie trudniejsze – można to zrobić wyłącznie w profesjonalnym gabinecie dentystycznym.
Czy płytka i kamień nazębny to to samo?
Każdego dnia nasze zęby są narażone na ataki tysięcy drobnoustrojów oraz powstawanie kamienia i osadu nazębnego. Nawet, jeśli dbamy o jamę ustną szczególnie uważnie, to właściwie nie jesteśmy w stanie pozbyć się z niej wszystkich naleciałości; właśnie dlatego tak istotnym jest, by regularnie odwiedzać stomatologa (wizyty kontrolne powinny odbywać się przynajmniej raz na pół roku). Tylko specjalista jest w stanie bowiem odpowiednio zareagować na wykształcające się w naszej jamie ustnej problemy, wśród których najczęstszymi – poza próchnicą – są zalegająca płytka i kamień nazębny.
Czym jest płytka nazębna?
Płytka nazębna jest miękkim nalotem, który ściśle przylega do powierzchni zęba. Zazwyczaj dość łatwo ją usunąć i można to zrobić poprzez regularne szczotkowanie (najlepiej przy użyciu szczoteczki elektrycznej i past zawierających fluor).
Do powstania płytki nazębnej doprowadzają spożywane przez nas pokarmy, których resztki – w połączeniu ze śliną – zalegają w różnych obszarach jamy ustnej, doprowadzając tym samym do zbierania się na granicy zębów i dziąseł osadu bakteryjnego. Osad ten jest wypełniony szkodliwymi drobnoustrojami, jeśli jednak zostanie usunięty z naszej jamy ustnej stosunkowo szybko, to nie powinien wyrządzić w niej większych szkód. Gorzej, gdy pozwolimy mu się rozwinąć – nieleczony osad może bowiem się zmineralizować, utrwalając tym samym przebarwienia i prowadząc do powstania próchnicy oraz… kamienia nazębnego.
Czym jest kamień nazębny?
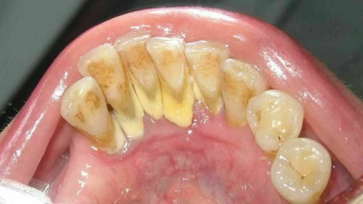
Jak pokrótce wspomniano już wyżej, kamień nazębny to innymi słowy zmineralizowana płytka nazębna. Zazwyczaj przybiera brązową bądź żółtą barwę i – ze względu na swoją twardą strukturę – jest dość trudny do usunięcia; możemy się go pozbyć wyłącznie w gabinecie stomatologicznym, poddając się profesjonalnym zabiegom.
W skład kamienia nazębnego wchodzą głównie substancje zawarte w ślinie, bakterie próchnicotwórcze, a także resztki pożywienia oraz związki wapnia i fosforu. Jego wpływ na zęby jest bardzo niekorzystny – nieleczony kamień nazębny przyczynia się do demineralizacji szkliwa, a także, za sprawą swoich kwasów, prowadzi do powstawania próchnicy, paradontozy, oraz chorób dziąseł i schorzeń przyzębia.

Każdy z nas posiada inną podatność na wykształcanie się kamienia nazębnego – u jednych odkłada się on szybciej, u innych wolniej. Wszystko zależy tak naprawdę od naszych indywidualnych cech i predyspozycji. Zaobserwowano również, że wzmożoną tendencję do odkładania się kamienia nazębnego posiadają osoby starsze. Wszyscy, którzy dostrzegają na swoich zębach zmiany związane z pojawianiem się kamienia, powinni jak najszybciej udać się do stomatologa.
Jak należy usuwać płytkę i kamień nazębny?
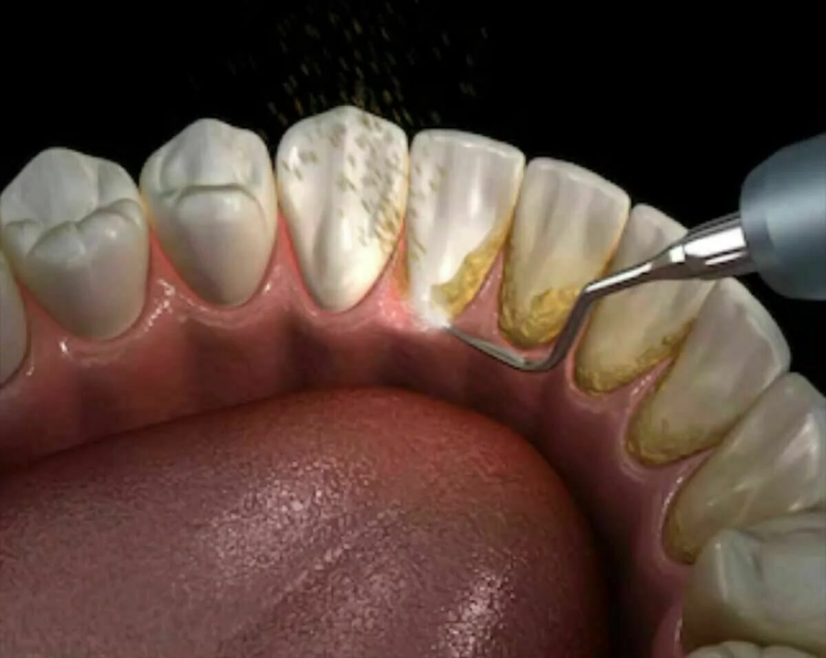
O ile z usunięciem płytki nazębnej nie ma większego problemu (wystarczy do tego właściwa higiena jamy ustnej), to kamień nazębny jest bardziej skomplikowanym problemem. Ze względu na fakt, jak silnie przylega do struktury szkliwa, nie mamy możliwości pozbyć się go podczas standardowego, codziennego szczotkowania. Jak zatem możemy to zrobić?
Od lat w usuwaniu kamienia nazębnego najlepiej sprawdza się zabieg skalingu. Wyróżniamy dwa jego rodzaje: skaling naddziąsłowy (najczęściej przeprowadzany zabieg, polegający na usuwaniu kamienia nazębnego z korony zęba), oraz skaling poddziąsłowy (polegający na usunięciu kamienia nazębnego znajdującego się pod powierzchnią dziąseł). Można go wykonywać przy pomocy kilku metod, jednak obecnie najczęściej robi się to za sprawą ultradźwięków (czasem też poprzez tak zwany „skaling mechaniczny”).

W niektórych przypadkach – jeśli warstwa kamienia nazębnego jest niewielka, albo naszym problemem jest głównie osad – wystarczające okazuje się przeprowadzenie zabiegu piaskowania. Polega on na usuwaniu niechcianych naleciałości przy pomocy tak zwanej piaskarki, która kieruje na zęby specjalny strumień piasku dentystycznego. Piaskowanie doskonale sprawdza się również jako zabieg uzupełniający skaling.
Jak wygląda profilaktyka przed wykształcaniem się płytki i kamienia nazębnego?
Wykształcanie się w jamie ustnej płytki i kamienia nazębnego jest groźne dla zdrowia zębów oraz dziąseł, dlatego też, gdy tylko dostrzeżemy podobne problemy, należy jak najszybciej udać się z nimi do stomatologa. Ryzyko pojawienia się płytki i kamienia nazębnego możemy znacznie ograniczyć stosując się do poniższych porad.
1. Szczotkuj zęby dwa razy dziennie, używając do tego past zawierających fluor. Proces ten uzupełniaj stosowaniem nici dentystycznej i specjalnych płukanek antybakteryjnych.
2. Przynajmniej raz na pół roku, regularnie odwiedzaj stomatologa.
3. Usuń ze swojej diety słodycze i napoje gazowane; w zamian pij dużo wody i jedz warzywa. Ogranicz pomiędzy posiłkami przekąski, a po każdej dokładnie wyszczotkuj zęby.
Interesuje Cię szczoteczka soniczna - opinie naszych klientów na pewno ułatwią Ci podjęcie decyzję, którą kupić.

















